Fractured Hand
October 22nd, 2006 | Back to Blog Listing

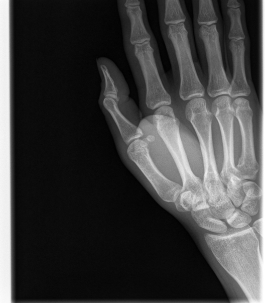
A little part of my bone that evidently chipped away from the main thumb.
While playing an indoor soccer game, I had the pleasure of playing goal. If you've never seen an indoor game before, it's tremendously faster than outdoor soccer. The field is about the same size as a hockey rink and the out-of-bounds rules are similar; the ball can be played off of the walls. While the net is a little smaller to defend, the shots tend to come from much closer in.

It all happened so quickly that I'm not positive of the specific details, but I essentially charged for a ball in the box and right as I grabbed it, had the pleasure of having my hand kicked by the offensive player. After the swelling remained for a few days, I headed over to the urgent care facility to have it checked out.

It turned out that I had a small chip in the bone, though it wasn't a huge deal. After a couple of days of keeping it compressed and icing it, the swelling was gone. It only took a couple of weeks to resume full use of the hand.

I was particularly impressed how the urgent care facility provided me with a digital copy of the x-rays and a program from which to view them (albeit Photoshop works too).