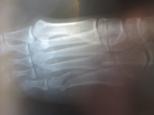
![]() Liz's Dancer's Fracture Los Angeles, CA While Liz was rehearsing for a performance she was going to be doing, she apparently jumped and landed wrong on her foot. We really didn't think it was broken for the first two days, but after ice baths and compression wouldn't heal it, I took her to a doctor to have it X-rayed. Sure enough she had what they refer to as a Dancer's Fracture, or a break along the 5th metatarsal in the foot. To make matters worse, the doctor said it would need to be operated on right away and would likely need a screw put into it to hold it together. Liz's mom came in town and handled most of the matter for her. I was happy to share in her pain medication with her! In this album: Dancer's Fracture |
Liz's Dancer's Fracture
Dancer's Fracture
|
||||||||||||||||||||||||||||||||||||